Thông thường, khi phát hiện mình có khối u ở xương, người bệnh sẽ vô cùng lo lắng bởi không biết mình bị u xương lành tính hay ác tính. Vậy u xương là gì? Nếu là bệnh u xương lành tính, nó có thể chữa khỏi được không? Các bạn hãy cùng Okasa tìm hiểu chi tiết dưới đây nhé.
Tìm hiểu về bệnh u xương
U xương là căn bệnh xuất hiện khi các tế bào xương phát triển không kiểm soát được sẽ tạo thành khối u.
Thông thường thì hầu hết các trường hợp u xương đều là u xương lành tính. Mặc dù, khối u xương lành tính không thể di căn, nhưng bệnh vẫn ảnh hưởng đến xương, nó có thể khiến xương suy yếu và bị tổn thương khi gặp va chạm.
Trường hợp ít gặp đó là u xương ác tính hay còn gọi là ung thư xương. Người bị bệnh ung thư xương có thể di căn ra khắp cơ thể, lúc này ngay cả những mô xương bình thường cũng sẽ bị làm tổn thương.

Những loại u xương lành tính
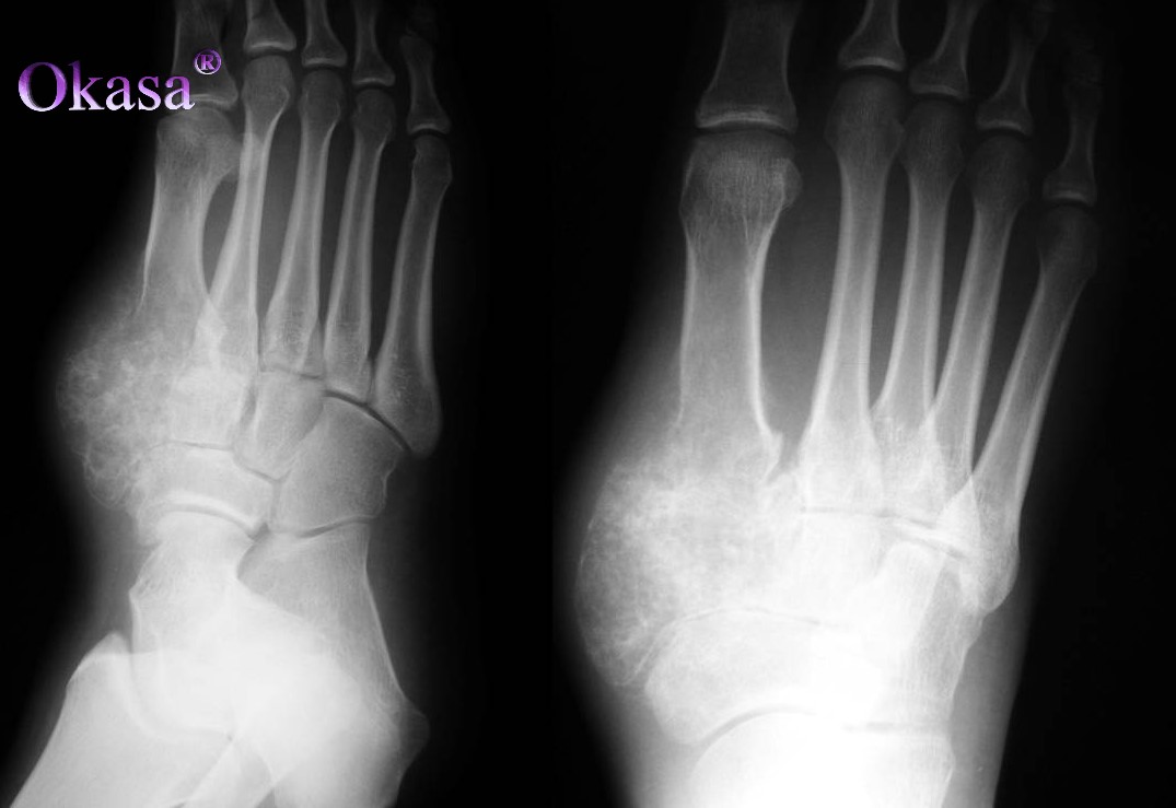
U xương sụn
Những loại u xương lành tính thường gặpnhất chính là u xương sụn, nó chiếm ít nhất khoảng 45% các trường hợp u xương. Hành xương dài là nơi thường xuất hiện khối u nhất, tuy nhiên một số vùng xương như: xương sườn, đầu trên xương cánh tay và đầu dưới xương đùi cũng có thể xuất hiện khối u nhưng thường phát triển chậm.
Khi tiến hành chụp X-quang, qua hình ảnh thu được sẽ thấy hình ảnh nấm sụn có cuống. Nó phát triển từ hành xương gần sụn, sau đó sẽ nghiêng xa hướng khớp. Những người đã qua tuổi trưởng thành thì khối u thường không phát triển rộng.
U xương sụn nếu là bẩm sinh thì nó thường liên quan đến yếu tố di truyền. Bệnh sẽ phát triển chậm và khiến xương dài bị cong. Nếu là khối u thứ phát cần phải được loại bỏ hoàn toàn, trong số ít trường hợp nặng sẽ phải cắt bỏ chi.
U nội sụn
U nội sụn là u xương lành tính thường xuất hiện ở bàn tay, xương bàn tay, xương ngón tay, đầu trên xương cánh tay. U nội sụn xảy ra ở người trong độ tuổi từ 10 – 70 tuổi.
Qua hình ảnh chụp X-quang có thể nhìn thấy xương dài bị tổn thương mở rộng tới thân xương, nhưng không có phản ứng màng xương. Hình ảnh đặc trưng nhìn thấy ở loại u này là các đốm canxi hóa trong nang, đó là những hạt có màu xám trắng, cứng và thấu quang.
U nội sụn là u xương lành tính, nó có thể gây ra các cơn đau nhưng tiến triển chậm và thường không gây ra gãy xương bệnh lý.

Nang xương đơn độc
Nang xương đơn độc cũng là một dạng u xương lành tính và nó có khả năng tự khỏi, bệnh này thường gặp nhất ở trẻ em từ 5-15 tuổi.
Thông thường, khối u không có bất kỳ triệu chứng nào, chỉ đến khi người bệnh bị gãy xương bệnh lý thì mới phát hiện. Qua hình ảnh chụp X-quang sẽ phát hiện nang xương có nhiều ngăn, đặc biệt là thấu quang, phát triển phần đầu trên xương hoặc gần sụn, lớp vỏ nang mỏng và không có phản ứng màng xương. Nang xương có lớp vỏ mỏng chứa dịch, dịch này giống như huyết thanh hoặc máu.
Nang xương đơn độc thường gây ra những tổn thương từ lớn đến nhỏ, những tổn thương này lan rộng theo đường kính của hành xương.
Trước đây, phương pháp thường được điều trị là nạo bỏ khối u và cấy ghép xương tự thân. Tuy nhiên, tỉ lệ tái phát bệnh của phương pháp này khoảng 20-50%. Còn phương pháp nữa ít được sử dụng là kỹ thuật cắt bỏ nang rộng rãi, bao gồm cả thành xương, có tỉ lệ tái phát là 5-9%.
Nang được phân loại trong các tổn thương u xương lành tính sẽ giúp đánh giá nguy cơ tái phát bệnh. Hiện nay, phương pháp điều trị mới an toàn sau phẫu thuật hơn, ít biến chứng và tỉ lệ 5 – 10% tái phát đó là tiêm methylprednisolon.
U nguyên bào sụn
U nguyên bào sụn là dạng u xương lành tính rất hiếm gặp, nó chỉ thường xảy ra ở giai đoạn đang đóng tấm phát triển của sụn phát triển.
Phần đầu trên xương cánh tay và quanh đầu gối là nơi sụn thường phát triển. U nguyên bào sụn sẽ gây ra các cơn đau lan vào khớp, vị trí tổn thương có thể sưng nề và gây hạn chế vận động của các khớp liên quan. Qua hình ảnh chụp X-quang có thể thấy xương bị hủy do khối u, tuy nhiên những tổn thương này không xâm lấn vượt qua tấm phát triển.
U nguyên bào sụn thường phát triển lệch tâm ở hành xương, quá trình calci hóa trong khối ucó các đường viền. Dạng u này ít gây phản ứng màng xươngvà gãy xương bệnh lý. U nguyên bào sụn thường phát triển chậm và hầu như không tiến triển thành ung thư.
Phương pháp điều trị u nguyên bào sợi chủ yếu là phẫu thuật để nạo khối u và cấy ghép xương. Phương pháp này có tỉ lệ tái phát từ 10-40%. Phương pháp xạ trị và hóa trị đã được chứng minh là không có tác dụng trong điều trị u nguyên bào sụn.
Trong đời sống hàng ngày việc uống trà xanh, cung cấp đủ lương vitamin A & D cho cơ thể... sẽ giúp ngăn ngừa và điều trị ung thư xương. Thường xuyên vận động, sử dụng liệu pháp massage, ghế massage có thể giúp tăng sức đề kháng cho cơ thể, tăng cường tuần hoàn máu, đảm bảo việc cung cấp oxy và chất dinh dưỡng, tăng cường trao đổi chất và đào thải độc tố, giúp cho cơ thể khỏe mạnh.
Trên đây là một số chia sẻ về U xương lành tính là gì? Khi có những triệu chứng của bệnh các bạn nên tới bệnh viện để thăm khám và điều trị kịp thời. Tránh để lâu khiến bệnh trở nặng hoặc diến tiến thành u ác (ung thư xương).